Incredible results and inspiring journeys; see some of our patients' before and after photos next time you visit our practice.


Problem: Missing upper left lateral incisor tooth, a small, peg shaped upper right lateral incisor tooth, and crowed teeth
Solution: Upper and lower braces were placed to create space for the missing tooth. Plans for a future implant were initiated. Consultation with the patient’s general dentist was also completed in order to create the right amount of space on either side of the peg shaped tooth so the dentist could cosmetically build it up to match the implanted tooth following orthodontic treatment.


Problem: Severely advanced lower jaw (Anterior Crossbite)
Solution: Upper and lower braces were placed and protraction headgear and elastics were worn to bring the upper jaw forward and the lower jaw back.


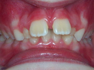
Problem: Severe open bite due to a thumb habit and tongue thrust
Solution: Upper and lower expansion appliances were placed to widen the jaws and help create space `for the permanent teeth. Swallowing or tongue posture exercises were also taught to the patient and were practiced daily to teach the tongue to not touch against the teeth when swallowing. After the eruption of more permanent teeth, Phase II treatment was completed to align all of the teeth.


Problem: Severely forward positioned upper jaw (Class II)
Solution: Phase I treatment was initiated using an appliance called a Twin Block with an expansion screw. The Twin Block brings the upper jaw back and the lower jaw forward as well as widens the upper jaw all at the same time. This allows all of the adult teeth to fit in as they begin to erupt. Upper and lower braces were also placed during the Phase I to align the upper and lower four permanent teeth that had already erupted. Now that more permanent teeth have erupted the patient is now in an active Phase II treatment with upper and lower braces and elastics to complete her orthodontic treatment.


Problem: Crossbite on the back left side, causing the jaw to shift to one side, consequently causing the upper and lower midlines to be off. (A crossbite is typically taken care of at an early age as it is easier to correct at that time. A crossbite left untreated can cause the jaw to shift to one side and may cause joint discomfort.)
Solution: Phase I treatment which included an upper expansion appliance and upper braces to align the upper four permanent teeth once they had fully erupted was initiated. This child was then placed between phases while awaiting the eruption of the other permanent teeth. Once the permanent teeth were erupted, Phase II treatment was completed with upper and lower braces.


Problem: Severe crowding and lower jaw more forward than upper jaw
Solution: An upper expander, upper and lower braces, and elastics were worn during treatment to get the upper and lower teeth to fit together properly. Four bicuspids were also extracted. Extractions are not typical and are only done when totally necessary.


Problem: Severely rotated upper anterior teeth and impacted upper canines.
Solution: An upper expander and upper and lower braces were placed. The impacted upper canines were surgically exposed and an attachment was placed on both of these teeth allowing them to be slowly directed into place. Four bicuspid teeth were extracted and elastics were worn to bring the teeth together.


Problem: An adult with a lower jaw more advanced than the upper jaw, posterior crossbite and severe crowding
Solution: Since this was an adult and growth was already complete, the only way to totally correct the bite was to combine orthodontics with orthognathic surgery. Upper and lower braces were placed along with an upper expander. Then orthognathic surgery was used to assist with upper jaw expansion and advancement. After surgery, elastics were used to fine tune the alignment.


Problem: An adult patient with upper and lower crowding and back teeth in crossbite.
Solution: Since this adult patient desired straight teeth but “no” braces, clear Invisalign aligners were used to correct the alignment. An upper expander was also placed to move the upper back teeth a little to the outside of the lower teeth. Elastics were worn in order to bring the teeth together.


Problem: Deep impinging overbite, an upper jaw more forward than her lower jaw, and bulbous gum tissue.
Solution: Phase I was initiated to help eliminate the overbite by wearing a fixed upper biteplate and headgear. After further eruption of the permanent teeth, a Phase II was initiated with upper and lower braces and elastics. After orthodontic treatment was completed periodontal gum surgery was necessary to remove the excessive bulbous gum tissue.


Problem: Upper front teeth grew in angled towards the lower front teeth (Class II, Division 2)
Solution: Several appliances were used in this treatment. Because of the very deep bite and the angulation of the upper front teeth, an upper progressive biteplate was placed to decrease any interference with the lower teeth during tooth movement. Upper and lower braces were placed and elastics were worn to bring the upper and lower teeth together.


Problem: Upper jaw very narrow and extremely more forward than lower jaw (Severe Overjet)
Solution: A Phase I was initiated before all of the permanent teeth had erupted. Upper and lower expanders along with upper and lower braces were placed. High-pull headgear was also worn. Phase II was later initiated after the eruption of permanent teeth. An upper expander, upper and lower braces, and elastics were worn during Phase II to properly fit the upper and lower teeth together and allow the lips to come comfortably together over the teeth.